Domingo, 14 Diciembre 2025
PUBLICIDAD
PUBLICIDAD
PUBLICIDAD
PUBLICIDAD

 

Leticia Paniagua lucha en los Juzgados por demostrar que hubo negligencia médica, pero asegura que su caso está siendo bloqueado

 

Yolanda Téllez

Fotos: Jesús Betancort/Cedidas

Vídeo: Lancelot Televisión

 

No sólo sufre las consecuencias de una presunta "mala praxis médica", sino que asegura vivir todo un vía crucis judicial. Este es el caso de Leticia Paniagua, una vecina de Arrecife de 41 años que afirma que su vida cambió tras someterse a una intervención en una clínica dental de Tías, que le dejó graves secuelas "con riesgo de vida". "Siempre decía que quería ser madre después de los 40 y ahora me encuentro con este problema", apunta.

 

Su historia comenzó en marzo de 2012, cuando le pusieron cuatro implantes en la mandíbula y fundas en los dientes, cosa que, según sostiene, le habían recomendado en dicha clínica, a la que había  acudido previamente para que le pegaran la corona de una pieza dental. "Al día siguiente tenía la cara inflamada y con mucho dolor y me dijeron que era normal, pero yo sabía que algo me estaba pasando, porque me sentía la boca dormida", cuenta.

 

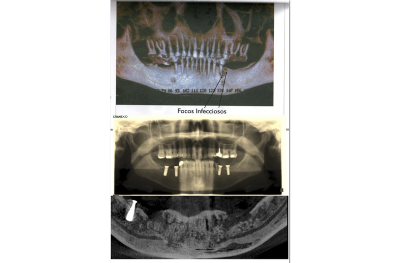
Así, tras acudir varias veces, exigió que le realizarán una radiografía, la cual no entiende porque no le realizaron tras la intervención para asegurarse de que todo estaba hecho correctamente. "En ella se veía como uno de los implantes estaba sobre el diente, pero la dentista me decía que no era así, que todo estaba bien y que era un efecto óptico", señala.

 

Confiando en la doctora, Leticia se marchó a su casa, teniendo que acudir 10 días después de la intervención al Hospital Molina Orosa, donde fue ingresada. Tres días más tarde fue trasladada de urgencia, en helicóptero, al Hospital Doctor Negrín de Las Palmas, donde permaneció cerca de un mes en la UVI. Allí tuvo que ser operada dos veces debido a la gran infección que se le había creado en la mandíbula. "Salí en silla de ruedas y con la cara rígida por la infección que había tenido", cuenta. El diagnóstico, una osteomielitis, es decir, una infección ósea causada por bacterias en a mandíbula inferior, debido a la cual sufre grandes problemas. "Echo hasta trozos de hueso por las encías", asegura Leticia. La única solución posible, según le han dicho, quitarle toda la dentadura.

 

Desde entonces se ha gastado "más de 35.000 euros" en médicos y en demostrar que lo que le sucedió fue consecuencia de una negligencia médica. Sin embargo, además de encontrarse con que la responsable de la clínica ha venido negando su responsabilidad, tampoco ha encontrado mucha ayuda de la justicia, donde denunció los hechos ante el Juzgado de Instrucción número 2 de Arrecife. Y es que, la afectada ha interpuesto una queja contra la médico forense por presunta prevaricación, como consecuencia de un informe que realizó, que asegura que es "una auténtica vergüenza". "Me dijo que no me preocupara, que era evidente que lo que me había pasado no era normal, pero después hizo un informe en el que da la razón a las imputadas, basándose en que me pasó lo que me pasó porque no me tomé los medicamentos y fumé, cosa que no es así y tengo pruebas", afirma Leticia, al tiempo que muestra las recetas y los tickets de compra de los antibióticos y explica que, sin embargo, la médico-forense no responde ni tiene en cuenta lo planteado en otros informes médicos, a pesar de que tardó "un año en realizarlo".

 

Así, la defensa de esta mujer presentó alegaciones a dicho informe, basándose en otro realizado por un médico forense de la Universidad de Las Palmas, que pone de manifiesto la supuesta negligencia médica. Sin embargo, a pesar de que esto fue en febrero, aún no ha recibido respuesta. En dicho documento no sólo se dice que a Leticia se le colocó un implante de forma incorrecta, sino que además ni siquiera debían habérselo puesto. "Se basaron en un TAC que tenía de 2009, cuando me tenían que haber hecho otro, pero aún así ahí ya se veía que tenía un foco de infección, por lo que ya de por sí no me deberían haber puesto el implante, que encima lo colocaron mal, encima de un diente", relata.

 

Además, dicho implante se lo colocaron en la pieza 34 cuando, en teoría, iban a colocárselo en la 36, hecho que aparece reflejado en el propio informe de la médico forense de los Juzgados. "Ahí mismo pone que iban a ponerlo en la 36, pero no lo pusieron ahí, y eso es evidente, pero no lo dice. Sin embargo, sí que dice que rechacé los implantes, cuando es mentira, porque aún tengo uno y que fue la clínica quien me llevó al hospital, cuando fue mi hermana", apunta.

 

Leticia asegura que si al menos le hubieran pedido "disculpas" en la clínica, todo se habría quedado ahí, pero "no fue así". "Si me dicen, mira Leticia, lo siento, vamos a ayudarte, lo entendería, porque todo el mundo se puede equivocar, pero lo único que me dijeron es que era mi palabra contra la suya", señala. "Además es que si al ver que estaba mal me hubieran quitado el implante y el diente no habría pasado nada de lo que pasó", añade.

 

Ahora, lo único que espera esta mujer es que se haga justicia y que la propia justicia no obstruya su caso.


PUBLICIDAD
PUBLICIDAD
PUBLICIDAD
PUBLICIDAD
×